gzipped pdf (440 KB)

winzipped pdf (440 KB)

normal pdf-file (860 KB)

Abstract:

The area of Broca and Wernicke, the superior temporal sulcus, Heschl's gyrus, both planum polare and planum temporale, as well as the anterior superior insular cortices are brain structures known to perform important functions for the understanding of language. Up to now, the neuronal network comprising these structures has been thought to be domain-specific for auditory language processing. To what extent this network might also be activated by the processing of non-linguistic information has remained unknown. The present fMRI-data reveal that the human brain employs this neuronal network also for the processing of musical information though with a right-hemispheric predominance, indicating that the cortical network known to support auditory language processing is less domain-specific than previously believed.

 

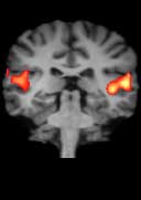
Fig.: Clusters - in-key chords

 

Statistical z-maps of the contrast between clusters and in-key chords. Effects of clusters (contrasted to in-key chords) are mapped onto an individual brain. The panel shows views from left sagittal (left, Talairach coordinate x=-52), coronal (middle-right, Talairach coordinate y=-30), axial (middle-left, Talairach coordinate z=18), right medio-sagittal (top right, Talairach coordinate x=43), and right latero-sagittal (bottom right, Talairach coordinate x=51).

If you have not installed the Adobe Acrobat Reader to read this pdf-file click on the button below:

close window